Digg
Community AvatarCommunity AvatarCommunity Avatar
Top
Community AvatarCommunity AvatarCommunity AvatarCommunity AvatarCommunity AvatarCommunity AvatarCommunity AvatarCommunity AvatarCommunity AvatarCommunity AvatarNavigate to explore communities page
Signup / Login
Community Avatar/albumartworksheaven
1d

MANOWAR

4Score: 4
0
Community Avatar/calculator
1d

Aristo M 76

A guy in Germany had a case of these and was selling them on eBay for about $20 apiece several years ago.

2Score: 2
0
Community Avatar/histopathology
4d

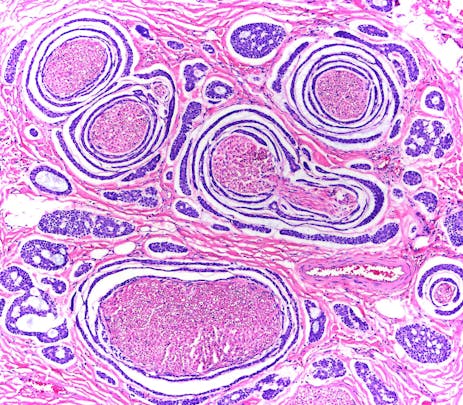
Adenoid Cystic Carcinoma Of Parotid Gland

This histologic section features prominent perineural invasion, one way many neoplasms are able to "spread."

2Score: 2
0
Community Avatar/vintagetech
5d

Man Cave Workstation

This is my daily driver in the man cave, an Ultra 5 running Solaris 10/CDE.

4Score: 4
2
Community Avatar/histopathology
6d

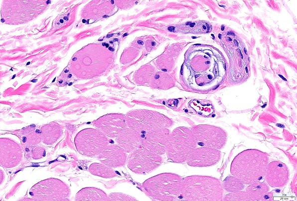
The Muscle Spindle Apparatus

A photomicrograph of the skeletal muscle organ that prevents your biceps from shredding apart when you attempt to lift an automobile by the bumper. The stain is usual hematoxylin/eosin, the most common differential stain used in surgical pathology.

4Score: 4
0
Community Avatar/albumartworksheaven
6d

The Moody Blues on the DERAM Label

The first of a septet of albums from the late 1960's/early 1970's that will blow your mind.

11Score: 11
2
Community Avatar/sliderules
6d

Daily Driver

This is my EDC slide rule, a Post 1444.

16Score: 16
3
Digg GuyDigg Guy

You’ve reached the end of the feed.

Roll credits.

fomec's User Avatar
@fomec

Joined Jan 16, 2026

7Posts

2Comments

5Dugg

0Gems

Achievements

In the process of achieving.

coming soon

Managed Communities

Pinned Communities

Terms of ServicePrivacy Policy
AboutSwag© 2026 Digg, Inc.